03-3877-1855

ホワイトニング症例集|葛西駅前の歯医者【クレア歯科医院】

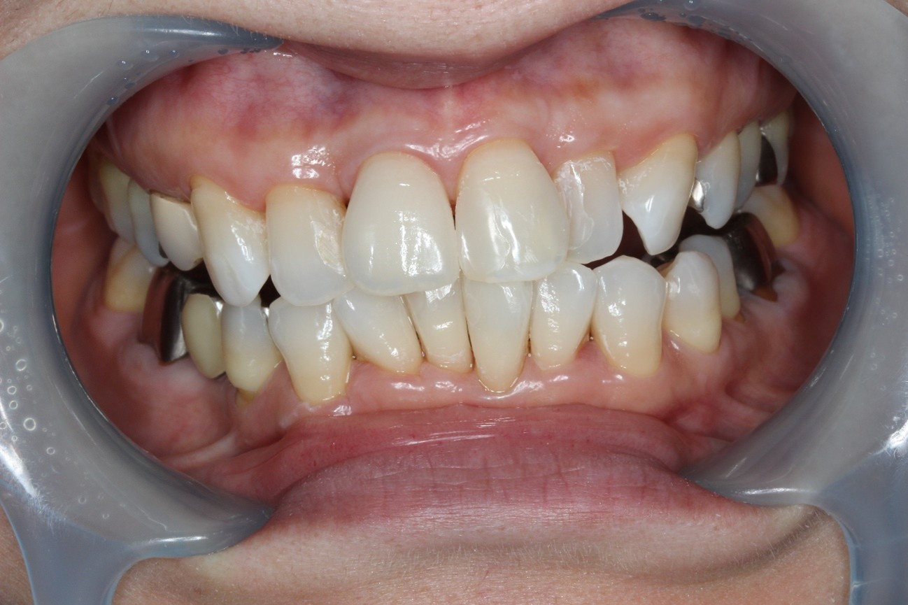
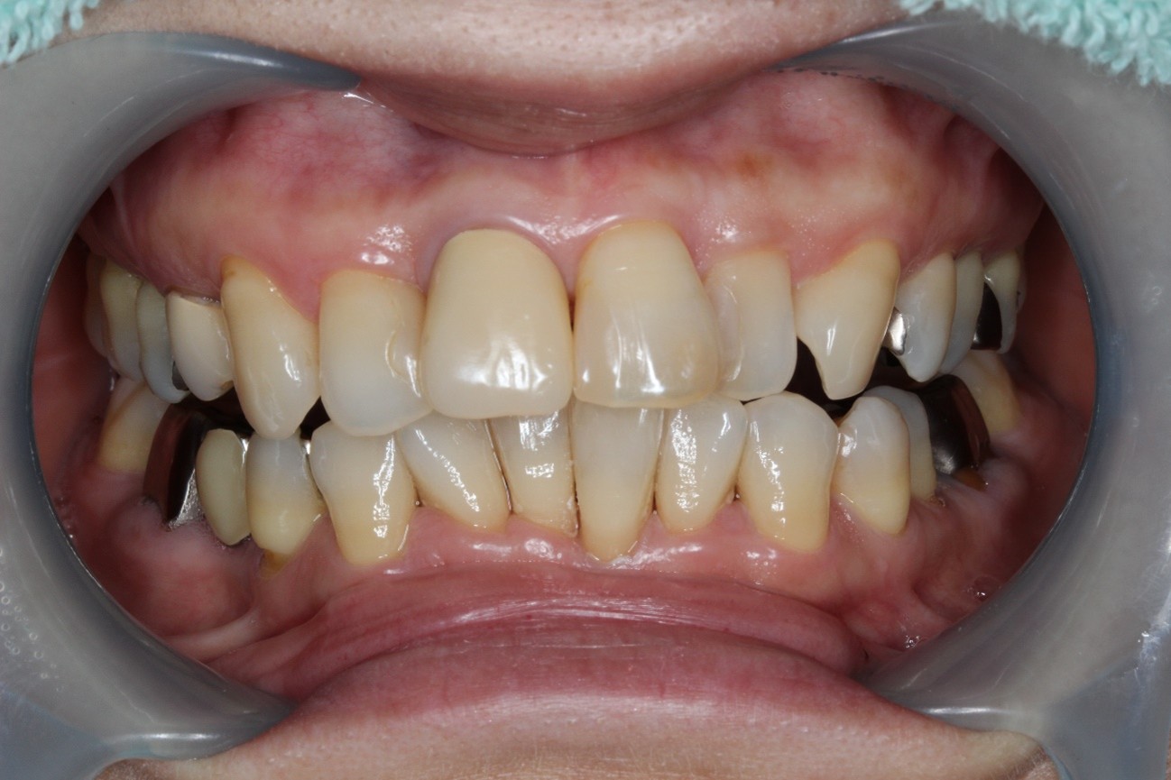
セラミッククラウン+ホワイトニング症例


セラミッククラウン+ホワイトニング症例Before

before

セラミッククラウン+ホワイトニング症例After

after

治療名称 セラミッククラウン+ホワイトニング
治療費用 ホワイトニング(35,000円+税)
ファイバーコア1万円+税
クラウン14万円+税
合計:15万円+税とホワイトニング
治療期間 前歯の根管治療を含めて2ヶ月
(WHと補綴で1ヶ月)ホワイトニングと補綴で1ヶ月
→合計3ヶ月
患者の症状 前歯のかぶせ物(#11)をきれいにしたい

それに合わせて周囲の歯もきれいにしたい。
治療内容 根っこの治療をしなくてはいけなかった人。右上1番の根幹治療を行いました。
そこを仮歯にしてホワイトニングを実施。そこからファイバーコアを立てて、削って治療完了。
治療の結果 見た目が自然の歯と同じように見えるようになって、満足いただけました。

デュアルホワイトニング症例


デュアルホワイトニング症例Before

before

after

治療名称 デュアルホワイトニング
主訴 少し黄ばんだ歯を白く(きれいに)したい。
治療費用 35,000円+税
治療期間 1か月
治療内容 オフィスホワイトニングを1回実施。
ホワイトニングのトレーとジェルを渡して、自宅でホワイトニング剤を塗布していただく。
・オフィスWH ホームWHトレーとジェルを渡す
・ホームWH
・経過観察
治療の結果 見た目の黄ばみが改善されました。

ホワイトニング+セラミッククラウン(前歯)症例


ホワイトニング+セラミッククラウン(前歯)症例Before

before

after

治療名称 ホワイトニング+セラミッククラウン(前歯)
主訴 前歯をきれいにしたい
治療費用 ホワイトニング35,000円+税
クラウン14万円+税×5本
ファイバーコア3本→3万円+税
→765,000円+税
治療期間 前歯の根管治療を含めて2ヶ月
(WHと補綴で1ヶ月)ホワイトニングと補綴で1ヶ月
→合計3ヶ月
治療内容 根っこの治療をしなくてはいけなかった人。
右上2番から左上3番までブリッジ治療。
そこを仮歯にしてホワイトニングを実施。
そこからファイバーコアを立てて、削って治療完了。

ホワイトニングをお考えの患者様へ

ホワイトニングの効果について

▷ 歯の着色の原因や程度には個人差がありますので、ご要望の白さにならないこともあります。
また、効果を得るには一定の期間と回数が必要となります。
▷ 歯の詰め物、かぶせ物の色は白くなりません。

予想される不具合

▷ 一時的にしみることがあり、症状によっては中断することもあります。
▷ 歯によっては、一時的に帯状の模様や白斑が現れることがありますが、通常、数日のうちに
目立たなくなります。

ホワイトニング後の注意事項

▷ 妊娠中の方、授乳中の方、無カタラーゼ症の方は歯のホワイトニングはできません。
▷ 24時間は、喫煙、着色性の飲食物(コーヒー、紅茶、赤ワイン、カレー)、炭酸飲料、
酸性の食品(柑橘類など)、は控えてください。
▷ ホワイトニング効果は永久ではありません。
 効果を維持するには、適切なセルフケアと定期的なメンテナンスが必要です。

尚、上記のような期待した効果が得られなかった場合や不具合により施術を中断した場合であっても費用返金等の補償は致しかねますので、ご了承ください。