03-3877-1855

審美歯科症例集|葛西駅前の歯医者【クレア歯科医院】

ダイレクトボンディング症例


ダイレクトボンディング症例Before

before

ダイレクトボンディング症例After

after

治療名称 ダイレクトボンディング
主訴 左下歯頸部の着色が気になる
治療費用 33,000円(税込)
治療期間 1日
治療内容 古い材料を削って取り除き、新しいコンポジットレジンを詰める。

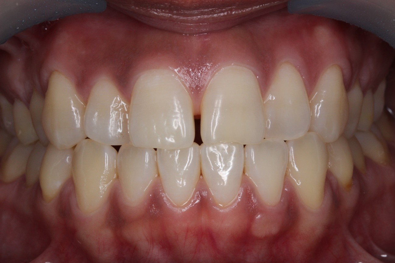
ダイレクトボンディング(前歯)症例


ダイレクトボンディング前歯症例Before

before

after

治療名称 ダイレクトボンディング(前歯)
主訴 前歯の隙間が気になる
治療費用 33,000円(税込)
治療期間 1日
治療内容 他のダイレクトボンディングと同じ。
削らずにエッジング(エナメル質を酸で溶かす)して、コンポジットレジンを貼り付ける。

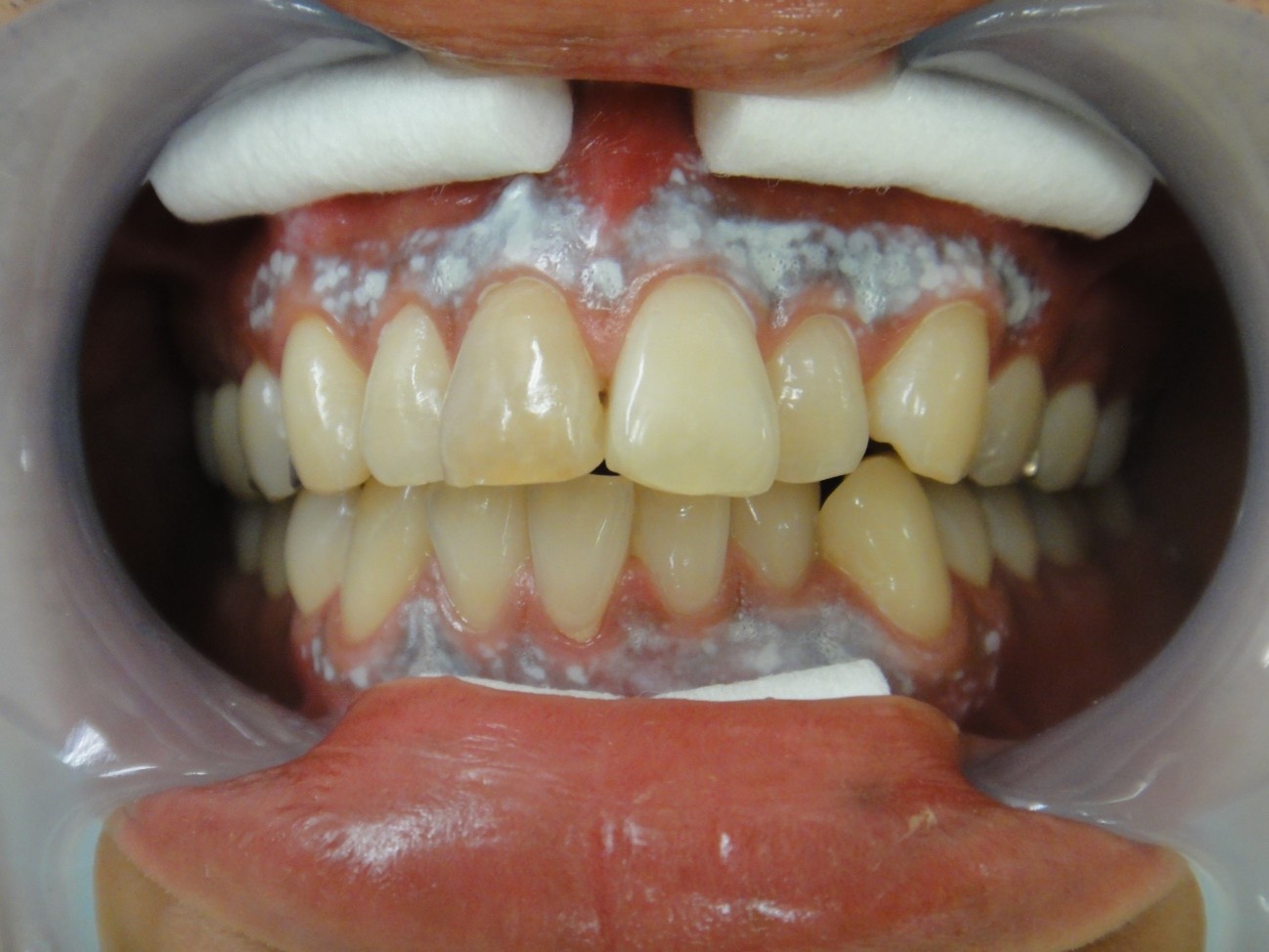
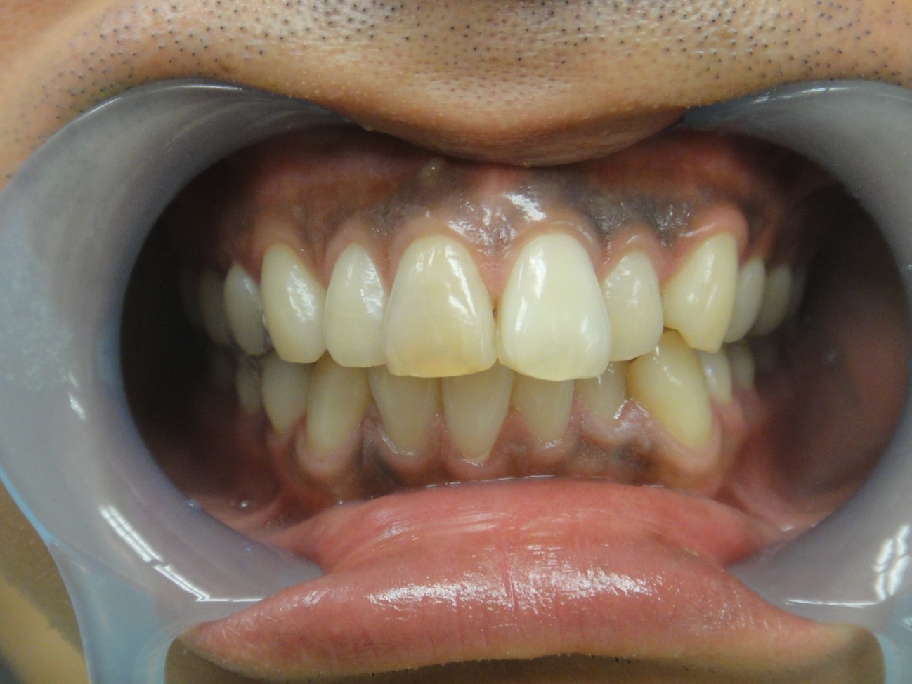
ガムピーリング症例


ガムピーリング症例Before

before

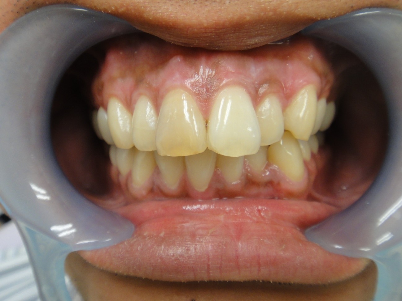
ガムピーリング症例治療経過

治療経過

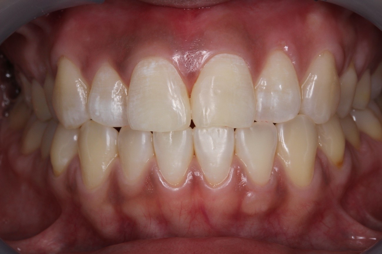
ガムピーリング症例After

after

治療名称 ガムピーリング
主訴 喫煙による歯茎の黒ずみが気になる
治療費用 上下で8,800円(税込)
※もう少しピンク色にしたい人は半額で提供。
治療期間 1回(治癒まで3日)
治療内容 ・薬剤を塗布することで(白くなる)表面が剥がれていく
・2.3日で白くなった部分がピンクに戻ります
注意事項 多少ヒリヒリする方もいらっしゃいます。
個人差もありますがそこまで痛みはありません。
辛いものを食べた時に若干ひりつくこともあります。
普通に帰宅した後に歯磨きしていただいて問題ありません。